Cyclin D1 Antibodies deliver diagnostic confidence
Cell Marque™ Offers Both SP4 and EP12 – Ready to Integrate Into Your Workflow
Accurate detection of Cyclin D1 is essential in diagnosing mantle cell lymphoma, plasma cell neoplasms, and other tumors with nuclear overexpression.
Cell Marque offers two clinically validated rabbit monoclonal antibodies—SP4 and EP12—providing labs the flexibility to choose the clone that best fits their diagnostic and staining preferences.

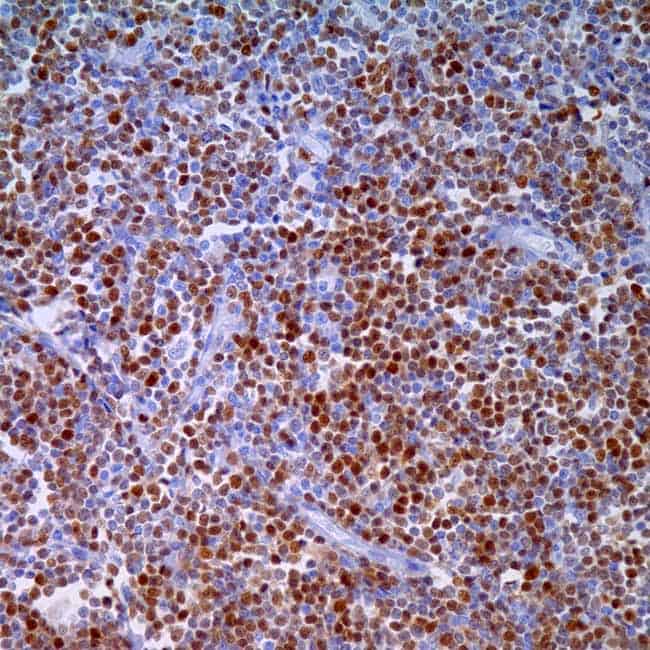
Cyclin D1 (SP4)
- Rabbit monoclonal
- Strong, clean nuclear staining
- Well-validated in mantle cell lymphoma

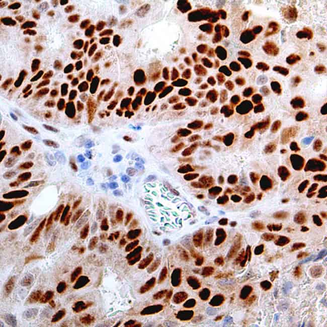
Cyclin D1 (EP12)
- Rabbit monoclonal
- Recognised for specificity and clean background
- Suited for lymphomas and plasma cell neoplasms
Why Choose Cell Marque Antibodies?
- Clinically proven clones.
- Lot-to-lot consistency.
- Ready-to-use formats.
- Full technical and validation support.
- Supported by global IVD standards.
Cell Marque Antibodies – READY FOR IMMEDIATE USE
Both Cyclin D1 clones are in stock and compatible with most automated staining platforms. The transition is simple with full datasheets and validation support available.
Questions or samples?
Our team can help you select the best clone for your diagnostic panel or support rapid integration into your IHC workflow.
Contact Abacus dx to request a sample or ask questions
Learn more about Cyclin D1 (SP4)
Learn more about Cyclin D1 (EP12)
THESE PRODUCTS ARE NOT AVAILABLE FOR PURCHASE BY THE GENERAL PUBLIC.
Request a Quote